(第2版第1刷:2026年2月10日発行)
正誤表
この度は,上記書籍をご購入くださいまして誠にありがとうございました.
以下の箇所に関して誤りがございましたので,ここに訂正するとともに深くお詫び申し上げます.
2026年4月7日更新
| 頁 | 箇所 | 誤 | 正 |
|---|---|---|---|
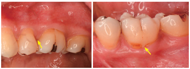
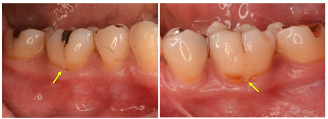
| 38 | 図T-3-29 |
![]() 図T-3-29 歯の形態異常 エナメル突起(エナメルプロジェクション) 上下顎第1 大臼歯部にみられたエナメル突起(エナメルプロジェクション〈矢印で示した突起部〉). 根分岐部の発生期の先天異常であるため,左右対称にみられる. |
![]() 図T-3-29 歯の形態異常 エナメル突起(エナメルプロジェクション) 下顎第1 大臼歯部にみられたエナメル突起(エナメルプロジェクション〈矢印で示した突起部〉). 根分岐部の発生期の先天異常であるため,左右対称にみられる. |
| 125 | 図U-5-48 | ![]() 図U-5-48 エムドゲイン® |
![]() 図U-5-48 エムドゲイン®(写真提供:ストローマン・ジャパン株式会社) |
| 127 | 図U-5-51 | ![]() 図U-5-51 リグロス® |
![]() 図U-5-51 リグロス®(写真提供:科研製薬株式会社) |
| 133 | 表U-5-9 術式3. | 角化歯肉と歯槽粘膜の教会 | 角化歯肉と歯槽粘膜の境界 |
| 169 | 図V-1-3 | BMI:26.2% | BMI:26.2 |






