CASE20.肝転移の所見を丁寧に取る(後編)
前編(49巻4号)にて,転移性肝癌と肝細胞癌の超音波所見について検討を行った.続いて本稿ではCT/MRIを確認し,さらに病理の検討へと進めていく.
若 杉:英単語の“Cancer”には,「癌」以外に「カニ」という意味があります.カルキノス=キャンサーは,癌がカニの足のように浸潤するから,という理由で名付けられたそうですね.ただ,癌のすべてがそうというわけではありません.たとえば肝細胞癌(HCC)の場合は,カニのようではなく,風船のように膨張性発育をします(図1).

図1 癌の発育のイメージ

若 杉:この時,HCCの境界部では,E-Ma(エラスティカ・マッソン)染色を見ればわかるように,腫瘍の近くで非腫瘍組織が圧排されるのです.特に図2のように,腫瘍の周囲に近づけば近づくほど,背景肝の網目状の線維組織が強く圧排されて,線維と線維の間が少しずつ狭くなっています.
金久保:確かにそうなっていますね.

図2 HCCの組織像(E-Ma染色)

若 杉:HCC自身が被膜を作る作用をもっているということは知っていますが,それとは別に,周囲の組織を圧排することも線維性被膜の形成に関与しているかもしれません.
市 原:なるほど.
若 杉:圧排性増殖に関連する事項として,HCCの外側陰影について説明します(図3).

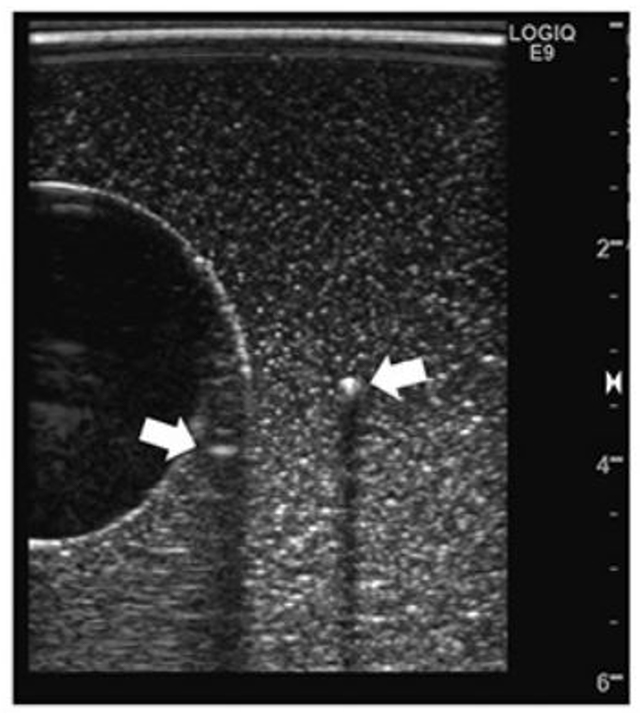
▲本実験のBモード像.右の矢印:金属棒(強反射体),左の矢印:その鏡面反射.

▲走査線の屈折現象のシミュレーション結果.左図:走査線の経路,右図:臨界角による全反射のモデルを付加すると,実験と対応するBモード像が得られた.

図3 外側陰影の形成(文献1より引用)

若 杉:外側陰影(lateral shadow)の形成機序については,これまでは屈折だけで説明されていました.多くの教科書でも屈折で説明されています.しかし屈折だけだと陰影には見えず,画像の歪みとして見えるはずなんですよね.近年は,超音波ビーム(送信波)と線維性被膜の角度が臨界角以上であるとビームが全反射し,この際の被膜壁形状が凸なため音波の散乱減衰が生じてしまい,外側陰影ができるといわれています.すなわち,腫瘍境界部での散乱減衰が外側陰影をもたらすのではないかといわれています.
長谷川:詳細な説明をありがとうございます.とても勉強になりました.
文献
1)神山直久,他:脂肪肝実質に出現する簾状エコーの考察から得られた外側陰影アーチファクトの解釈.超音波医学,44(suppl.):S283,2017.
※この記事は,月刊『Medical Technology』49巻5号(2021年5月号)に掲載されている「対比で読み解く 超音波画像と病理組織像」の“おまけトーク”です.本編は雑誌をご覧ください! →掲載号ページへ