CASE14.胆管内の高エコー
超音波像で胆管内に高エコー部分を認めた(矢頭).病理を見ると胆管内発育型の肝内胆管癌であり,腫瘍が高エコーに見えていたことになるが,どうしてだろうか?
市 原:今回おまけトークでご紹介する症例は,肝細胞癌(hepatocellular carcinoma;HCC)です.一般に,HCCの内部が高エコーになる理由は「脂肪沈着」であるといわれています.
金久保:そうですね.
市 原:ただ,本当に脂肪沈着ばかりが理由なのだろうか,という疑問があります.ではさっそく,エコー画像と病理の肉眼像の対比からご覧いただきましょう(図1).

図1 単純結節型の肝細胞癌
左から新鮮標本,ホルマリン固定標本,エコー像.

若 杉:わぁ,これはきれいですね.いかにも同じモノを並べているという感じがしますよ.対比って感じですね.
市 原:ありがとうございます.今回の病変は,比較的高エコー領域が目立つHCCです.ルーペ像も見てみましょう(図2).膠原線維の被膜に全周を覆われたHCCで,内部にはキラキラと白い部分があちこちに見られます.

図2 Azan染色のルーペ像
青く染まる膠原線維によって全周を覆われた腫瘍.白くキラキラした成分が3時方向や11時方向などに認められる.

長谷川:このキラキラしている白い部分は脂肪ですか?
市 原:なんとなくそう思いがちですよね.ところがこの症例,実は脂肪沈着は図2の黒枠部分(図3-a)にしかないんですよ.

図3 症例のHE染色像
a:図2の枠線部のHE染色像.点線で囲った部分にのみ脂肪沈着がみられる.
b:脂肪沈着部の強拡大像.白くキラキラしているのは細胞質内に沈着した脂肪滴である.

金久保:あれ?
若 杉:思ったよりも,かなり少ないですね.
市 原:すると「この高エコー化の原因は何だ?」という話になります.私は,答えは脂肪よりもむしろ,こちらのほうだと推定しています(図4).

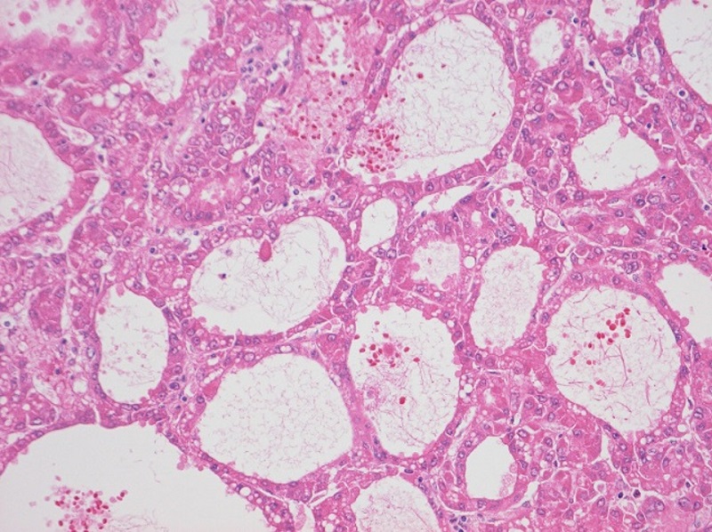
図4 腫瘍の拡大図
いわゆる偽腺管パターン(pseudoglandular pattern)を示す.

若 杉:これは……,いわゆる偽腺管パターンですね.
市 原:そうです.偽腺管パターン(pseudoglandular pattern)は,HCCにみられる細胞配列のバリエーションです.特殊な所見というわけではなく,HCCを顕微鏡で見ると,どこか一部にみられることが比較的多いです.ただ本例においては,病変のかなり多くの領域が偽腺腔を形成しています.これほど多いのは少し珍しいですかね.
若 杉:そうか,脂肪ではなく,腺腔の繰り返しのせいで高エコーになっているというわけですか.
長谷川:なるほど,本編でもふれたように,音響インピーダンスの差ができますからね.
市 原:はい.そういうことです.
若 杉:おもしろいですね.
市 原:ところで,この症例を検討する時に,病理報告書の文章だけ読んで,実際のプレパラートを見ないとどうなるでしょう?
若 杉:と言いますと?
市 原:報告書には「脂肪沈着を一部に伴う」と書いてあります.すると,画像をやっている方々はどう思いますか?
金久保:そうか!「脂肪沈着(+)だから高エコーになっているんだな」と解釈してしまうでしょうね.
市 原:そうです.実際にこの症例を担当した放射線技師さんも,最初は「脂肪沈着のせいで高エコーに見えたんだろう」と思ったそうです.しかしCTやMRIの造影を見ているうちに,少し疑問が生じたそうです.
長谷川:疑問ですか?
市 原:「脂肪沈着を伴うHCCは分化度がすごく良いことが多いけど,本例はまるで中分化型みたいな染まり方をするんだよな……中分化型HCCでも,脂肪沈着をいっぱい伴うことはあるのかな?」と思ったそうですよ.
若 杉:なるほどなるほど! それで疑問に思ったんですね.
市 原:それで私が顕微鏡を見てみたら,高エコーの主原因は脂肪沈着ではなくpseudoglandular patternだったことがわかったんです.このパターンは,高分化型から中分化型になりかけているようなHCCに比較的多くみられます.
若 杉:あぁー,納得ですね.対比をきっちりやると疑問が細かく解決できておもしろいなぁ.
※この記事は,月刊『Medical Technology』47巻1号(2019年1月号)に掲載されている「対比で読み解く 超音波画像と病理組織像」の“おまけトーク”です.本編は雑誌をご覧ください! →掲載号ページへ