
障害別PT治療学
第6章 中枢神経障害 8)脳腫瘍
| 問 題 1 |
PT 56 AM 17実 |
|---|
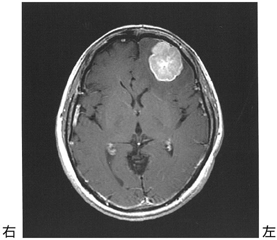
52歳の女性.起床時の頭痛と嘔気を主訴に脳神経外科を受診した.頭部造影MRI T1強調像を下に示す.頭蓋内腫瘍摘出術が予定されており,術前より理学療法が依頼された.神経症候として認める可能性が最も
- 1.失 語
- 2.拮抗失行
- 3.情緒障害
- 4.注意障害
- 5.遂行機能障害

チェック欄
| 1 | 2 | 3 | 4 | 5 | |
|---|---|---|---|---|---|
| ○ | |||||
| × | |||||
| △ |
解答欄
| 1 | 2 | 3 | 4 | 5 | |
|---|---|---|---|---|---|
解答をみる
チェック欄 解答
| 1 | 2 | 3 | 4 | 5 | |
|---|---|---|---|---|---|
| ○ | |||||
| × | |||||
| △ |
解答: 2
詳しい解説は以下をご参照ください。
「理学療法士・作業療法士 国家試験 必修ポイント 障害別PT治療学」
第6章 中枢神経障害 8)脳腫瘍 277頁