理学療法士・作業療法士 国家試験 必修ポイント理学療法士・作業療法士 国家試験 必修ポイント

障害別PT治療学

障害別PT治療学

障害別PT治療学

第6章 中枢神経障害 1)脳血管障害(片麻痺を含む)

④ 画像所見/MRI

問 題
5
PT 53 AM 6

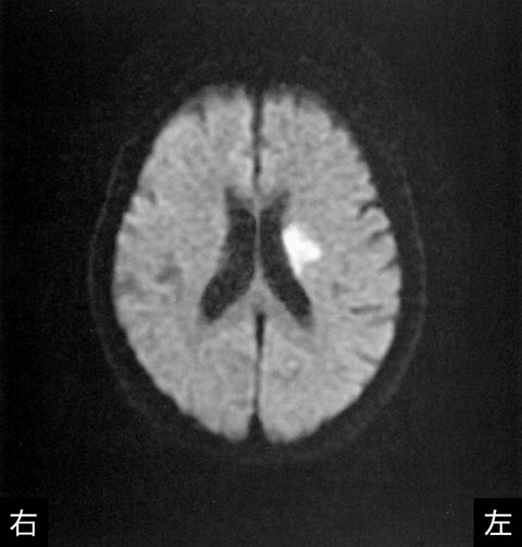
75歳の女性.右利き.脳梗塞を発症し救急車で搬入された.発症翌日に症状の悪化を認めた.発症3日目の頭部MRIの拡散強調像を下に示す.最も出現しやすい症状はどれか.

  • 1.片麻痺
  • 2.失語症
  • 3.運動失調
  • 4.嚥下障害
  • 5.視野障害

チェック欄

1 2 3 4 5
×

解答欄

1 2 3 4 5
 
解答をみる

チェック欄 解答

1 2 3 4 5
×

解答: 1

詳しい解説は以下をご参照ください。
「理学療法士・作業療法士 国家試験 必修ポイント 障害別PT治療学」
第6章 中枢神経障害 1)脳血管障害(片麻痺を含む) 210頁