
専門基礎分野 臨床医学
第5章 内部障害と臨床医学 3)呼吸器疾患
③ その他の呼吸器疾患/原発性自然気胸,肺炎,胸水
| 問 題 3 |
共通51 PM 95 |
|---|
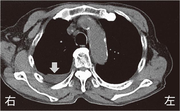
胸部CTを下に示す.
矢印の所見はどれか.
- 1.肺 炎
- 2.胸 水
- 3.肺 癌
- 4.肺塞栓
- 5.心囊液貯留

チェック欄
| 1 | 2 | 3 | 4 | 5 | |
|---|---|---|---|---|---|
| ○ | |||||
| × | |||||
| △ |
解答欄
| 1 | 2 | 3 | 4 | 5 | |
|---|---|---|---|---|---|
解答をみる
チェック欄 解答
| 1 | 2 | 3 | 4 | 5 | |
|---|---|---|---|---|---|
| ○ | |||||
| × | |||||
| △ |
解答: 2
詳しい解説は以下をご参照ください。
「理学療法士・作業療法士 国家試験 必修ポイント 専門基礎分野 臨床医学」
第5章 内部障害と臨床医学 3)呼吸器疾患 232頁