
基礎PT学
第3章 理学療法評価学 4)画像評価
② CT,MRI
| 問 題 2 |
PT 51 AM 17実 |
|---|
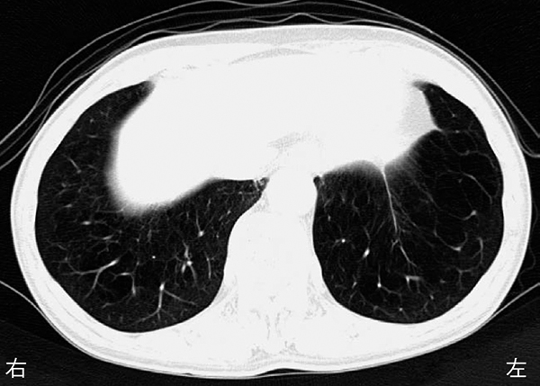
80歳の男性.胸部CTを下に示す.この患者で
- 1.肥 満
- 2.残気量の低下
- 3.一秒率の低下
- 4.気道抵抗の低下
- 5.肺コンプライアンスの低下

チェック欄
| 1 | 2 | 3 | 4 | 5 | |
|---|---|---|---|---|---|
| ○ | |||||
| × | |||||
| △ |
解答欄
| 1 | 2 | 3 | 4 | 5 | |
|---|---|---|---|---|---|
解答をみる
チェック欄 解答
| 1 | 2 | 3 | 4 | 5 | |
|---|---|---|---|---|---|
| ○ | |||||
| × | |||||
| △ |
解答: 3
詳しい解説は以下をご参照ください。
「理学療法士・作業療法士 国家試験 必修ポイント 基礎PT学」
第3章 理学療法評価学 4)画像評価 98頁