
障害別PT治療学
第2章 中枢神経障害 1)脳血管障害
③ 画像問題
| 問 題 21 |
第48回 理学療法 午後12実 |
|---|
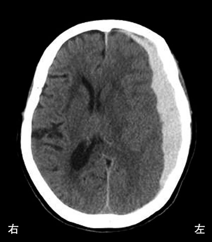
次の文により21・22の問いに答えよ.66歳の女性.右利き.階段から転落.転落直後は意識消失していたが,数分後に意識回復.しばらくの間,意識は清明であったが,1時間後に手足の麻痺が出現し,再び意識が低下して昏睡になった.救急搬送時の頭部CTを下に示す.
- 1.髄膜腫
- 2.皮質下出血
- 3.くも膜下出血
- 4.脳動静脈奇形
- 5.急性硬膜下血腫

チェック欄
| 1 | 2 | 3 | 4 | 5 | |
|---|---|---|---|---|---|
| ○ | |||||
| × | |||||
| △ |
解答欄
| 1 | 2 | 3 | 4 | 5 | |
|---|---|---|---|---|---|
解答をみる
チェック欄 解答
| 1 | 2 | 3 | 4 | 5 | |
|---|---|---|---|---|---|
| ○ | |||||
| × | |||||
| △ |
解答: 5
詳しい解説は以下をご参照ください。
「理学療法士・作業療法士 国家試験 必修ポイント 障害別PT治療学」
第2章 中枢神経障害 1)脳血管障害 98頁