
障害別PT治療学
第2章 中枢神経障害 1)脳血管障害
③ 画像問題
| 問 題 8 |
第52回 理学療法 午後9実 |
|---|
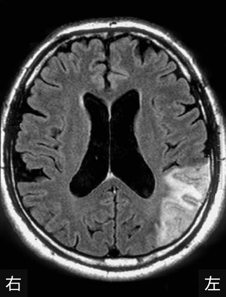
60歳の男性.右利き.脳梗塞を発症し,回復期リハビリテーション病棟に入院中である.食事時に右手でスプーンの柄を握りこんでしまい,うまくスプーン操作ができず,介助が必要になることが多いが,少しずつ食事動作が円滑にできる場面が増えてきている.頭部MRIを下に示す.この食事動作の病態として
- 1.観念失行
- 2.視覚性失認
- 3.運動維持困難
- 4.右上肢運動麻痺
- 5.右上肢深部覚障害

チェック欄
| 1 | 2 | 3 | 4 | 5 | |
|---|---|---|---|---|---|
| ○ | |||||
| × | |||||
| △ |
解答欄
| 1 | 2 | 3 | 4 | 5 | |
|---|---|---|---|---|---|
解答をみる
チェック欄 解答
| 1 | 2 | 3 | 4 | 5 | |
|---|---|---|---|---|---|
| ○ | |||||
| × | |||||
| △ |
解答: 1
詳しい解説は以下をご参照ください。
「理学療法士・作業療法士 国家試験 必修ポイント 障害別PT治療学」
第2章 中枢神経障害 1)脳血管障害 91頁