
障害別PT治療学
第1章 骨関節障害 2)骨折
② 上肢/上腕骨顆上骨折
| 問 題 1 |
第55回 理学療法 午前13実 |
|---|
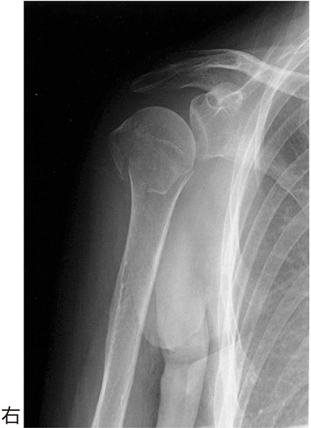
60歳の女性.転倒して右肩関節痛を訴えた.エックス線写真を下に示す.まず患部に
- 1.ギプス固定
- 2.極超短波治療
- 3.三角巾固定
- 4.髄内釘固定
- 5.超音波治療

チェック欄
| 1 | 2 | 3 | 4 | 5 | |
|---|---|---|---|---|---|
| ○ | |||||
| × | |||||
| △ |
解答欄
| 1 | 2 | 3 | 4 | 5 | |
|---|---|---|---|---|---|
解答をみる
チェック欄 解答
| 1 | 2 | 3 | 4 | 5 | |
|---|---|---|---|---|---|
| ○ | |||||
| × | |||||
| △ |
解答: 3
詳しい解説は以下をご参照ください。
「理学療法士・作業療法士 国家試験 必修ポイント 障害別PT治療学」
第1章 骨関節障害 2)骨折 16頁