
専門基礎分野 臨床医学
第4章 中枢神経・末梢神経・筋の障害と臨床医学 1)脳血管障害
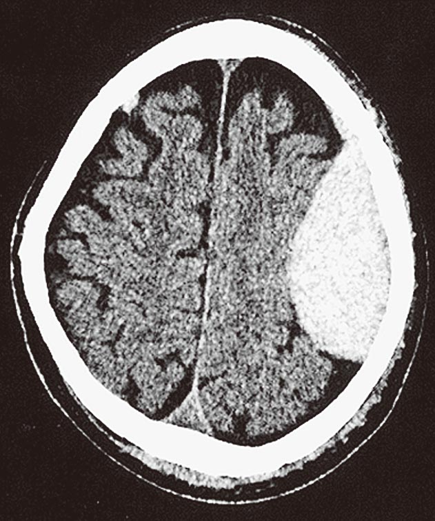
② 画像所見
| 問 題 8 |
第49回 専基 午前 90 |
|---|
頭部CTを下に示す.所見として
- 1.硬膜外血腫
- 2.硬膜下血腫
- 3.皮質下出血
- 4.くも膜下出血
- 5.脳動静脈奇形

チェック欄
| 1 | 2 | 3 | 4 | 5 | |
|---|---|---|---|---|---|
| ○ | |||||
| × | |||||
| △ |
解答欄
| 1 | 2 | 3 | 4 | 5 | |
|---|---|---|---|---|---|
解答をみる
チェック欄 解答
| 1 | 2 | 3 | 4 | 5 | |
|---|---|---|---|---|---|
| ○ | |||||
| × | |||||
| △ |
解答: 1
詳しい解説は以下をご参照ください。
「理学療法士・作業療法士 国家試験 必修ポイント 専門基礎分野 臨床医学」
第4章 中枢神経・末梢神経・筋の障害と臨床医学 1)脳血管障害 211頁